Cabinet d'orthodontie du Dr Marine Crouan
Cabinet d'orthodontie du Dr Marine Crouan

Parc Kennedy - 285 Rue Gilles Roberval - Bâtiment A3
30900 Nîmes

Blog - Page 10

Contention de Hawley

Contention de Hawley

Prévention : scellement de sillons chez l'enfant

Prévention : scellement de sillons chez l'enfant

Orthodontie : idées reçues, idées revues

Orthodontie : idées reçues, idées revues

L'orthodontie : une affaire de spécialistes

L'orthodontie : une affaire de spécialistes

L'usure dentaire

L'usure dentaire

Certaines personnes paraissent avoir subi une forme d’usure prématurée des dents. Quelles en sont les causes et comment y remédier ?

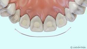
Fil de contention

Fil de contention

Affichage des articles 55-60 sur 145

Création par Webdentiste

Connexion